Здоровье

О погоде в Тетюшах 1 июня 2023 года

О погоде в Тетюшах 1 июня 2023 года

(Тетюши, 31 мая, "Тетюшские зори").

Детям чистопольского села рассказали о последствиях от курения.

Детям чистопольского села рассказали о последствиях от курения.

В Исляйкинской сельской библиотеке прошла беседа со школьниками «В объятиях табачного дыма», приуроченная этом дню.

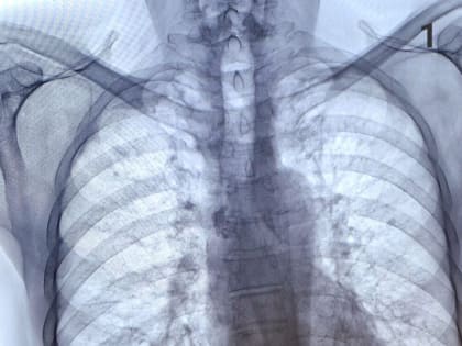
Врач-рентгенолог из Челнов сравнил снимки легких курящего и некурящего человека

Врач-рентгенолог из Челнов сравнил снимки легких курящего и некурящего человека

Врач-рентгенолог поликлиники №5 Челнов Рамзиль Гильметдинов рассказал, чем отличаются снимки рентгенографа курящего и некурящего человека.

Сегодня в Бавлах ожидается переменная облачность

Сегодня в Бавлах ожидается переменная облачность

По сообщению Гидрометцентра РТ, сегодня, 31 мая, в Бавлах переменная облачность.

Сегодня в Бугульме переменная облачность

Сегодня в Бугульме переменная облачность

Температура воздуха днем составит +27°...+30 °, ночью 16...17 градусов тепла.

31 мая- Всемирный день без табака

31 мая- Всемирный день без табака

31 мая ежегодный Всемирный день без табака, провозглашённый в 1988 году Всемирной организацией здравоохранения (ВОЗ) на 42 сессии Всемирной ассамблеи здравоохранения,

Количество опасных термоточек в лесах Татарстана увеличилось в три раза

Количество опасных термоточек в лесах Татарстана увеличилось в три раза

В Татарстане ведется мониторинг обстановки, чтобы предупредить лесные пожары.

Всемирный день гигиены рук в 2023 году проходит под девизом: «Чистые руки спасают  жизнь! Ускоряйте совместные действия. Спасайте жизни. Обрабатывайте руки».

Всемирный день гигиены рук в 2023 году проходит под девизом: «Чистые руки спасают жизнь! Ускоряйте совместные действия. Спасайте жизни. Обрабатывайте руки».

С 2008 года ежегодно по решению Генеральной Ассамблеей ООН совместно с Детским фондом ЮНИСЕФ и Всемирной организацией здравоохранения 5 мая (5.5.) отмечается Всемирный день гигиены рук.

С 03.04.2023 года в Республике Татарстан  начался сезон активности клещей - переносчиков клещевого вирусного  энцефалита и клещевого боррелиоза.

С 03.04.2023 года в Республике Татарстан начался сезон активности клещей - переносчиков клещевого вирусного энцефалита и клещевого боррелиоза.

С 03.04.2023 года в Республике Татарстан начался сезон активности клещей - переносчиков клещевого вирусного энцефалита и клещевого боррелиоза.